ITEA is the Eureka Cluster on software innovation
ITEA is the Eureka Cluster on software innovation
Dear visitor, please be informed that this is the ITEA staging environment. No actions here will be updated to production, feel free to test the system
ITEA 4 page header azure circular

Synthetic brain tumor images

Project
20044 ASSIST
Type
New library
Description

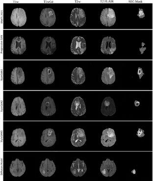
Synthetic brain tumor images from several different GANs and a diffusion model, as well as the trained models, have been shared on the AIDA data hub

https://datahub.aida.scilifelab.se/10.23698/aida/synthetic/brgandi

The work is described in a paper in the journal Scientific Data

https://www.nature.com/articles/s41597-024-03073-x

Contact
Anders Eklund
Email
anders.eklund@liu.se
Research area(s)
Deep learning, medical imaging, generative models
Technical features

This dataset is a collection of synthetic images generated by 5 generative models (Progressive GAN, StyleGAN1, StyleGAN2, StyleGAN3, diffusion model) trained on the BraTS 2020 and 2021 datasets (which share MR volumes from brain tumor patients and the corresponding tumor annotations). The trained generative models are also shared in this dataset.

Integration constraints

Need to read nifti files to access the images

Targeted customer(s)

Researchers and companies in deep learning

Conditions for reuse

Available under the following licenses, described in the License section below.

Controlled access Free for use in legal and ethical medical diagnostics research and education.

AIDA BY license Free for use within AIDA with attribution.

Confidentiality
Public
Publication date
15-05-2024
Involved partners
Linköping University (SWE)
Eigenvision AB (SWE)

Images

Links